Genetische Beratung

Ihre gesundheitliche familiäre Vorgeschichte ist wichtig

Gründe für eine genetische Beratung können sich erst während der Schwangerschaft ergeben oder bereits vorher bekannt sein.
So können erbliche Erkrankungen im Familienkreis, mögliche Auswirkungen von Medikamenten und Strahlenbelastung oder die körperliche Konstitution der werdenden Eltern Fragen zur Gesundheit Ihres Kindes aufwerfen.

Unter Berücksichtigung Ihrer persönlichen und familiären gesundheitlichen Vorgeschichte bieten wir Ihnen im Rahmen der genetischen Beratung eine persönliche und professionelle Risikoeinschätzung Ihrer Situation. Zudem beraten wir Sie ausführlich über die pränatalen Diagnostik- und Behandlungsmöglichkeiten.

Zwar ist es nicht möglich, jedes Erkrankungsrisiko für Sie selbst oder Ihre Angehörigen und insbesondere Ihre Kinder auszuschließen. Auch ist in manchen Fällen keine genaue Aussage zur Wahrscheinlichkeit des Auftretens einer bestimmten Krankheit oder Behinderung möglich. Dennoch ist eine genetische Beratung in zahlreichen Fällen sinnvoll.

Das Beratungsgespräch bietet ausreichend Zeit und Gelegenheit für Ihre Fragen. Unter Berücksichtigung ihrer individuellen Fragestellung und des Beratungsziels sind folgenden Aspekte Teil der genetischen Beratung:
• Erhebung Ihrer persönlichen und familiären gesundheitlichen Vorgeschichte (Anamnese). Dabei wird ein Stammbaum über mindestens drei Generationen erstellt.
• Bewertung vorliegender ärztlicher Befunde.
• Eine körperliche Untersuchung bei Ihnen oder Angehörigen, wenn dies für Ihre Fragestellung wichtig ist und Sie dieser zustimmen.
• Genetische Untersuchungen an Blut oder anderen Geweben, wenn dies für Ihre Fragestellung wichtig ist und Sie diesen zustimmen.
• Abschätzung spezieller genetischer Risiken.
• Beratung über allgemeine genetische Risiken.
• Ausführliche Information über die infrage stehenden Erkrankungen bzw. Behinderungen.
• Ausführliche Beratung über die mögliche Bedeutung dieser Informationen für Ihre Lebens- und Familienplanung und ggf. für Ihre Gesundheit.
Wir fassen das Gespräch in einem Bericht schriftlich zusammen und senden diesen an Sie bzw. den überweisenden Arzt.

• Einer oder beide Partner leiden an einer Krankheit, für die eine erbliche Ursache vermutet wird.
• Einer oder beide Partner sind als Überträger einer genetischen Erkrankung identifiziert.
• Paare, mit einem oder mehreren Kindern, bei denen eine Krankheit mit erblicher Ursache vorliegt oder vermutet wird.
• In der Verwandtschaft eines oder beider Partner ist eine Krankheit aufgetreten, die möglicherweise genetische Ursachen hat.
• Verwandtenehe (z. B. Cousin/Cousine).
• Zugehörigkeit zu einer Volksgruppe, bei der eine bestimmte genetische Erkrankung häufiger auftritt.
• Vor der Schwangerschaft ist eine Strahlenbehandlung oder die Einnahme bestimmter Medikamente erfolgt, von denen eine Veränderung des Erbgutes ausgehen könnte.
• Mütterliche Erkrankungen, die zu einer Entwicklungsstörung des ungeborenen Kindes führen können (z. B. Epilepsie, Herzschwäche, Drogenmissbrauch, Infektionen).
• Erhöhtes Alter der Mutter oder/und des Vaters.
• Mehrere Fehlgeburten ungeklärter Ursache (medizinisch: Habituelle Aborte).
• Ungewollte Kinderlosigkeit, für die eine genetische Ursache vermutet wird.

• Auffälliger Ultraschallbefund
• Auffälliger Bluttest (z. B. im Rahmen des Ersttrimester-Screenings)
• Veränderungen der Fruchtwassermenge
• Mütterliche Erkrankungen, die erst während der Schwangerschaft auftreten
• Einnahme von Medikamenten oder Strahlenbelastung in der Schwangerschaft
• Vor einer geplanten Untersuchung des Fruchtwassers (Amniozentese) oder der Plazenta

Chronische Erkrankungen, Medikamente
Sie leiden an einer Erkrankung wie Epilepsie, Multipler Sklerose, Rheuma, Diabetes mellitus, einem Herzfehler, Herzinsuffizienz, Morbus Crohn/Colitis ulcerosa, einer Psychose, Sie hatten eine Nierentransplantation? Diese und andere Krankheiten können sehr unterschiedliche Auswirkungen auf eine Schwangerschaft haben.
Bei manchen Krankheiten erhöht sich das gesundheitliche Risiko durch eine Schwangerschaft, bei anderen kann die Einnahme von Medikamenten unter Umständen zu Problemen führen.
In der genetischen Beratung klären wir, ob für Sie besondere Risiken bestehen.
Erbliche Erkrankungen
Sie wissen von einer erblichen Erkrankung in Ihrer Familie und wünschen eine vorgeburtliche Risikoeinschätzung? Das Angebot einer genetischen Beratung und ggf. DNA-Diagnostik können Sie bereits vor dem Beginn einer Schwangerschaft nutzen.
Wie schnell das Ergebnis einer DNA-Diagnostik vorliegt, hängt von der jeweiligen Fragestellung ab. In den meisten Fällen sind die Untersuchungen nach 2 bis 6 Wochen abgeschlossen. Bei sehr seltenen Erkrankungen sind Untersuchungen manchmal nur im Ausland möglich, sodass zunächst Anträge zur Kostenübernahme bei den Krankenkassen gestellt werden müssen. Hier sollten mehrere Wochen eingeplant werden.
Wiederholte Fehlgeburten (medizinisch: Habituelle Aborte)
Sie haben zwei oder mehr Fehlgeburten erlitten und wollen wissen, ob diese in Ihrem Falle zufällige Ereignisse waren, oder ob es eine Ursache dafür gibt? Fehlgeburten sind nicht selten: Etwa 15-20 % aller bestätigten Schwangerschaften enden mit einer Fehlgeburt.
Wir bieten spezielle Sprechstunden für Frauen an, die schon eine Fehlgeburt hatten. Wir sprechen mit Ihnen ausführlich über die möglichen Ursachen und über die Untersuchungen, die zur Abklärung sinnvoll sind.
Nach der Erhebung Ihrer Krankengeschichte wird für weiterführende Untersuchungen häufig Blutproben beider Elternteile benötigt. Es ist daher sinnvoll, wenn beide Elternteile bei dem Beratungsgespräch anwesend sind. Finden wir eine Ursache für Ihre Fehlgeburten, ist gegebenenfalls eine Behandlung möglich, um die Chancen für die Geburt eines Kindes zu erhöhen.
Ungewollte Kinderlosigkeit
Wenn der Wunsch nach einem Kind unerfüllt bleibt, kann dies viele Gründe haben. Veränderungen im Erbgut eines oder beider Partner können dafür verantwortlich sein. Um eine solche Ursache diagnostisch abzuklären, bieten wir die genetische Beratung und, wenn erforderlich, weiterführende Untersuchungen an.
Für mögliche Therapieverfahren (zum Beispiel hormonelle Stimulation und künstliche Befruchtungen) wenden Sie bitte an eine entsprechende Kinderwunsch-Praxis. Ihr Frauenarzt berät Sie bei der Auswahl der geeigneten Institution.

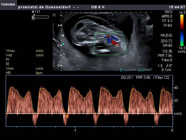
Doppleruntersuchung

Kombination aus der Darstellung von Blutflüssen und von Flussprofilen Bild. Die Flussprofile liefern uns Informationen über die Versorgung der Plazenta, die Herzleistung des Kindes, eine eventuelle Blutarmut oder die Blutverteilung im kindlichen Kreislauf.

Fetale Echokardiographie

Die Untersuchung des fetalen Herzens ist eines der wichtigsten und auch schwierigsten Elemente der Feindiagnostik bei 20 Wochen. Zweidimensionaler Ultraschall, Farbdoppler und – wenn erforderlich – auch dreidimensionaler Ultraschall kommen zum Einsatz. Alle Kammern, Arterien und Venen des Körper- und des Lungenkreislaufs werden dargestellt. Den weit überwiegenden Teil der möglichen Herzfehler können wir bei dieser Untersuchung erkennen bzw. ausschließen.

Mutterschafts-Richtlinien

Die Richtlinien regeln den Umfang der ärztlichen Betreuung in der Schwangerschaft und nach der Geburt. Zum Beispiel ist festgelegt, wann die drei Routine-Ultraschalluntersuchungen stattfinden sollen und aus welchen Gründen zusätzliche Untersuchungen angezeigt sein können. Wichtige Untersuchungen wie das Ersttrimester-Screening oder die Feindiagnostik bei unauffälligem Routine-Ultraschall sind in den Richtlinien nicht erfasst.

Nackentransparenz

Lockerer Gewebespalt zwischen der Haut des Hinterkopfes und dem darunter liegenden Gewebe des ungeborenen Kindes. Eine Verbreiterung kann ein Frühzeichen eines Herz-Kreislaufproblems sein. Zwischen 11 und 13 Wochen kann der Messwert auch benutzt werden, um die Wahrscheinlichkeiten einiger genetischer Störungen zu berechnen.

Feindiagnostik

Umfassende Ultraschalluntersuchung meist zwischen 20 und 22 Wochen. Bei früh entdeckten Auffälligkeiten können eine Feindiagnostik auch vor 20 Wochen sinnvoll sein. Der Umfang einer Feindiagnostik bei etwa 20 Wochen ist in Qualitätsanforderungen der Deutschen Gesellschaft für Ultraschall in der Medizin (DEGUM) beschrieben Link. Die Richtlinien zur Schwangerschaftsbetreuung sehen eine Feindiagnostik nur bei Auffälligkeiten im Routine-Ultraschall oder bei belasteter Vorgeschichte vor. Eine große Zahl der Schwangeren nimmt diese Untersuchung daher als Selbstzahler-Leistung in Anspruch. Bilder

Lorem ipsum dolor sit amet, consectetur adipiscing elit. Ut elit tellus, luctus nec ullamcorper mattis, pulvinar dapibus leo.